New Patient Special!
Make An Appointment
Examination, Necessary X-rays, and Cleaning*
Only $99
*In absence of gum disease.

Smile Gallery

"New patient, new smile,” by Dr. Dennis Doyle.

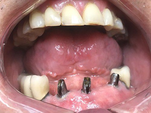
For this patient Dr. Dan Doyle utilized implants to hold her lower full denture in place.

This patient is so happy to finally have a bridge made by Dr. Dan Doyle to replace the baby teeth he has had as an adult since he is missing his permanent teeth
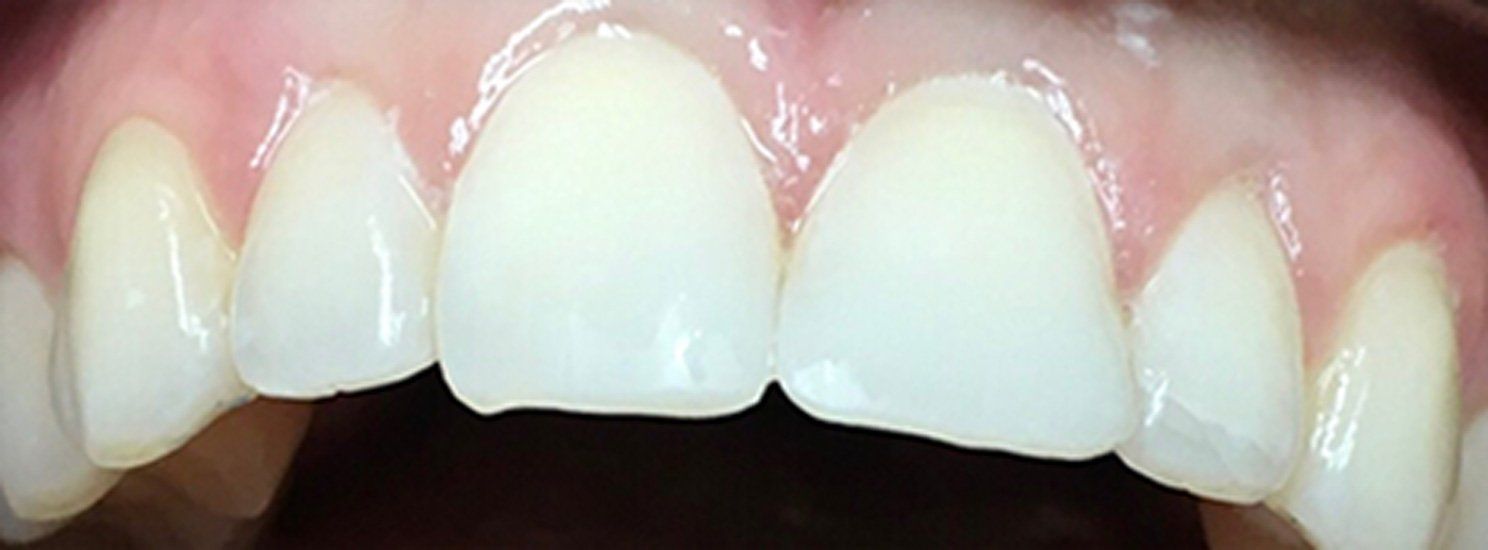
Dr. Romina Doyle was able to transform this patient’s smile with two porcelain crowns.
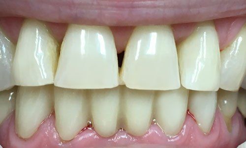
 Dr. Romina Doyle transformed this patients smile with a porcelain lower anterior bridge.
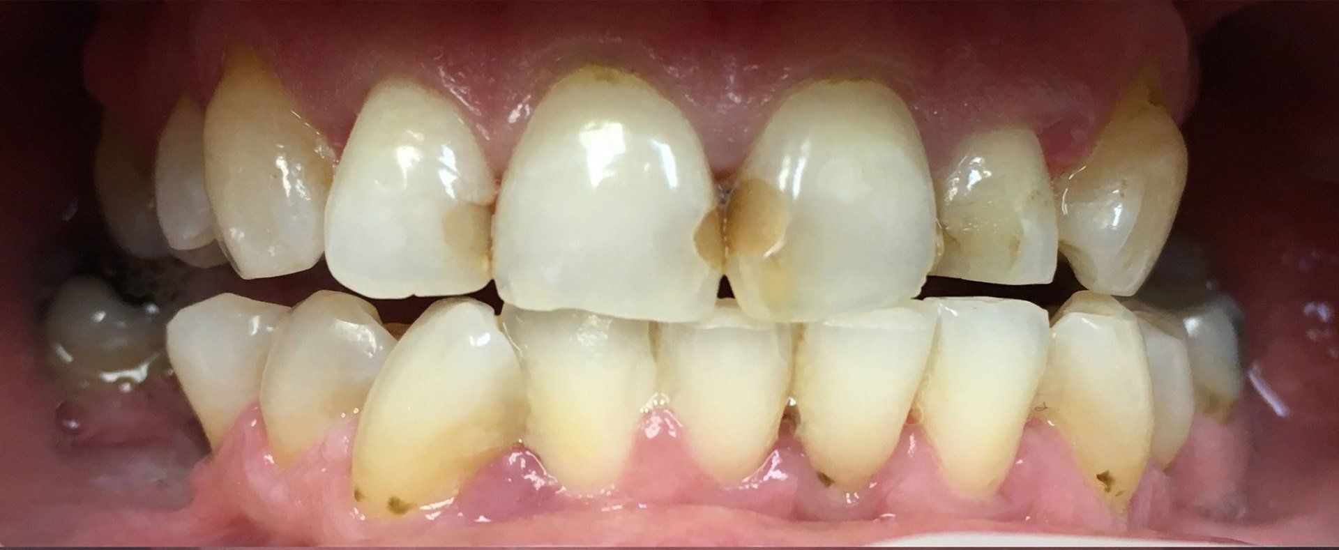
Dr. Dennis Doyle was able to restore extreme staining on a front tooth.
Dr. Dennis Doyle created this amazing new smile with an implant crown.
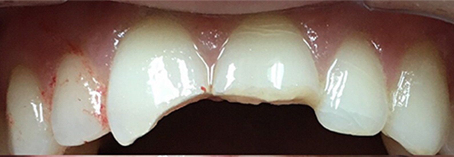
Young student chipped front teeth after an accident. Dr. Dan Doyle restored them, looking as good as new. Our student can smile with confidence once again.
Patient with lower implant bridge by Dr. Dan Doyle.
Dr. Dan Doyle was able to quickly make over this patient’s smile with a new porcelain crown.

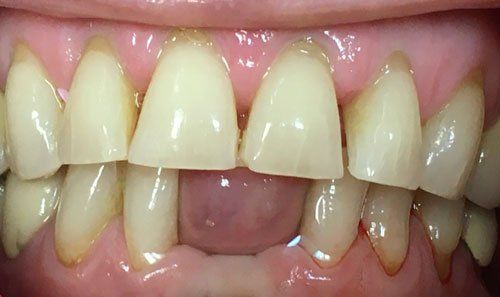
This patient’s missing tooth was replaced with an implant crown by Dr. Romina Doyle.

These 4 crowns by Dr. Dennis Doyle enhanced this patient’s smile.
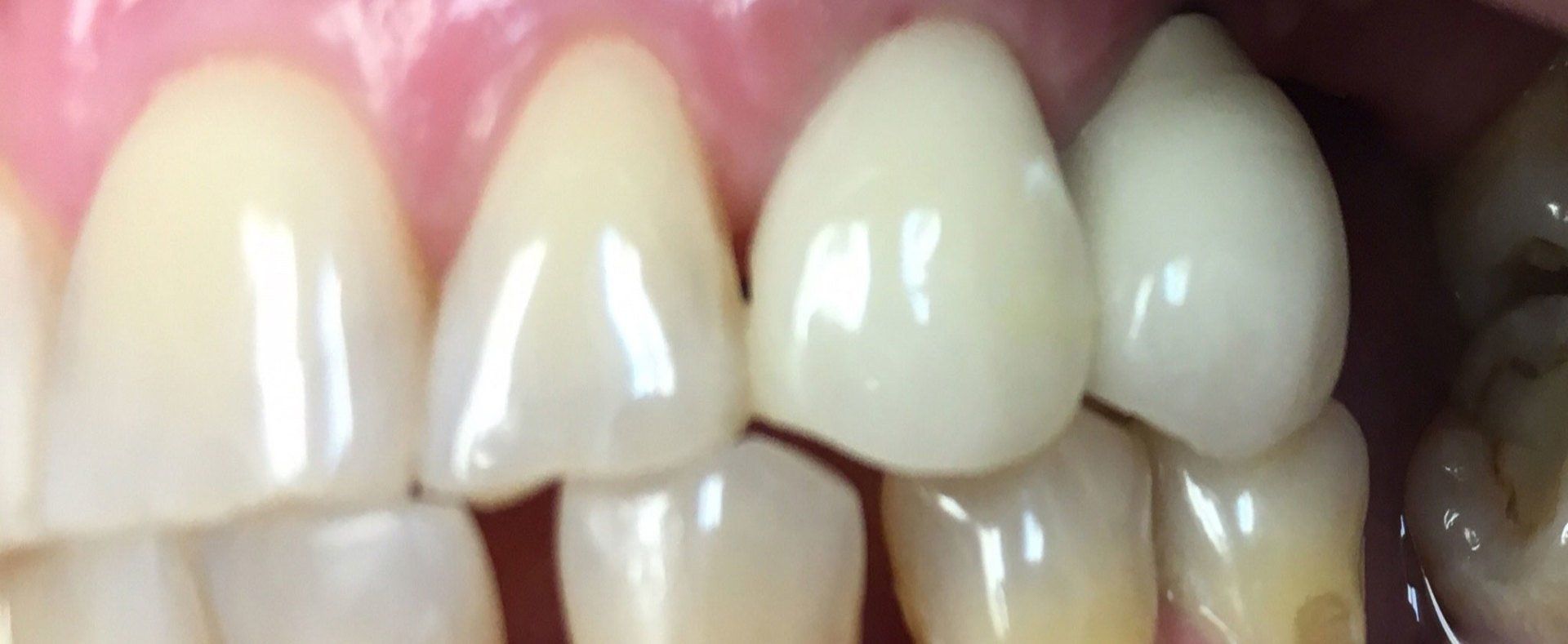
Bonded composite restorations by Dr. Dennis Doyle create a great new smile.
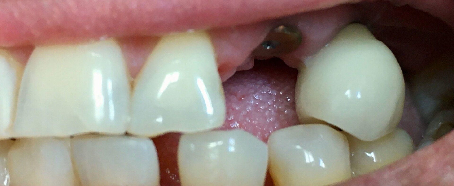
 This patient, missing his front tooth, restored his smile with an implant crown placed by Dr. Dennis Doyle.
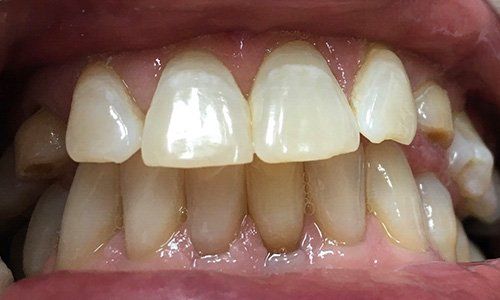
Anterior bridge work by Dr. Dennis Doyle turned this patient’s frown upside down.
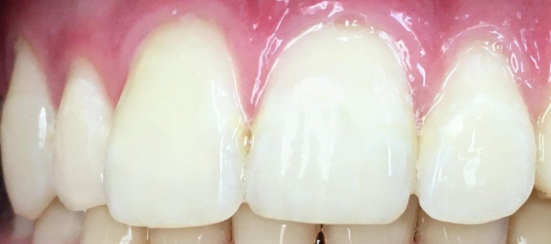
 A new composite restoration (bonding) by Dr. Dennis Doyle made this dark spot disappear.
Dr. Romina Doyle created a new smile for this patient with porcelain veneers and crowns.